
- 암환자 고통 이해와 오해 불식 씻어준 이야기 담다
- [환경데일리 김영민 기자]"2년 전 폐암 말기 진단으로 항암치료를 받았던 환자는 더 이상 치료 방법이 없다는 의사의 말에 무엇을 어떻게 해야 할지 난감합니다. 호스피스 완화 의료를 권하는 의료진의 말이 나를 포기한다는 말로 들려 섭섭 ...
- 김영민 기자 2017.07.17

- SPC그룹, 캐릭터 피규어 음료 '보툰' 출시
- [환경데일리 유혜리 기자]SPC그룹(회장 허영인)이 음료 용기 뚜껑에 블록 형태의 캐릭터 피규어를 적용한 신개념 음료 '보툰(Botoon)'을 출시했다고 17일 밝혔다.'보툰(Botoon)'은 '보틀(bottle, 음료병)'과 '카툰 ...
- 유혜리 기자 2017.07.17

- 무더운 날씨, 맥주 대신 나이트로 콜드브루 어때?
- [환경데일리 김영민 기자]스타벅스 나이트로 콜드브루, 직장인들이 많이 찾는다.스타벅스의 나이트로 콜드브루가 직장인 고객들에게 큰 호응을 받으며 고공 판매 행진을 이어가고 있다. ㈜스타벅스커피 코리아는 최근 나이트로 콜드브루 판매 실적 ...
- 김영민 기자 2017.07.13

- '달콤쫀득' 시원하게 즐기는 망고 디저트
- [환경데일리 유혜리 기자]천연과일을 그대로 녹여서 먹는다.동원F&B(대표이사 김재옥)가 껍질을 벗겨 통째로 얼린 망고 원물 간식, '자연한입 ICE 망고'를 출시했다.'자연한입 ICE 망고'는 식감이 쫀득한 망고를 엄선해 껍질 ...
- 유혜리 기자 2017.07.13

- 이탈리아 정통 파스타 폰타나 키트 4종 출시
- [환경데일리 유혜리 기자]간편하게 완성하는 이탈리아 정통 파스타를 손쉽게 집이나 캠핑 야외에서 먹을 수 있게 됐다.1인 가구 증가와 함께 혼밥 열풍이 지속되면서 가정간편식 시장도 진화하고 있다. 통계청에 따르면 2025년 1인 가구는 ...
- 유혜리 기자 2017.07.13

- 암환자, 사회적 지지 낮을수록 우울 삶의 질 하락
- [환경데일리 김영민 기자]암환자가 느끼는 사회적 지지 정도가 적으면 우울하고 삶의 질이 떨어지는 것으로 나타났다. 또 이런 상관 관계가 일반인에 비해서도 더 큰 것으로 조사됐다. 암환자들은 건강한 사람보다 주변 사람들의 관심과 도움을 ...
- 김영민 기자 2017.07.12

- "피부에 양보하세요" 유해물질 쇼크 무방비
- [환경데일리 한영익 기자]흡연으로 인한 담배연기는 물론 실내공기에서 외부 대기질까지 흡착돼 호흡기는 물론 피부, 안구에 이르기까지유해 환경으로부터 보호 장치는 없다.봄철 황사, 4계절 내내 초미세먼지가 인체에 각종 질환을 일으킬 수 ...
- 한영익 2017.07.11

- 찜통 더위, '먼치킨'과 시원한 '콜드브루'로 날려요
- [환경데일리 유혜리 기자]던킨도너츠가 무더위를 잊을 수 있도록 '삼복더위 프로모션'과 '콜드브루 사이즈업 프로모션'을 진행한다. 이번 프로모션은 행사 기간 중 먼치킨 팩(20개 입)을 30% 할인된 가격에, 콜드브루 커피는 500원 ...
- 유혜리 기자 2017.07.11

- 여름 휴가 제주 가면 스타벅스 제주특산음료 마셔요
- [환경데일리 김영민 기자]제주도에 숨겨진 자연음료를 스타벅스가 찾았다.스타벅스가제주 자연친화적인 로컬의 발굴하고 저편확대를 위해신제품을 선보였다.㈜스타벅스커피 코리아(대표 이석구)가 대표적인 관광지인 제주도의 특색을 반영해 지역 특산 ...
- 김영민 기자 2017.07.11

- CJ제일제당 캔 간편식 계절어보 맛과 영양 딱이네
- [환경데일리 윤경환 기자]CJ제일제당이 수산캔 전문 브랜드 '계절어보'를 론칭했다. '계절어보'는 '계절이 빚어낸 바다의 보물'이라는 뜻으로 별다른 조리 없이 '바로 먹는 캔 간편식' 콘셉트의 수산캔 제품이다. 소비자가 수산물을 ‘쉽 ...
- 윤경환 2017.07.11

- 샘표 별미여행 복날 보양식 기다렸다 '닭 요리'
- [환경데일리 유혜리 기자]"무더운 날씨에 지친 취향대로 즐기세요."초복을 앞두고 보양식을 찾는 소비자들의 손길이 늘고 있다. 남녀노소 누구나 부담 없이 즐길 수 있는 복날 음식을 꼽으라면 단연 닭 요리가 대표적이다. 닭고기는 다른 육 ...
- 유혜리 기자 2017.07.11

- 파스쿠찌, 이색 과일 활용 '프룻티 스파클링'3종 기대
- [환경데일리 유혜리 기자]파스쿠찌의 한여름날의 야심작, 스파클링 음료 3종이 기대를 모으고 있다.SPC그룹이 운영하는 이탈리아 정통 커피전문점 파스쿠찌가 본격적인 여름철을 맞아 스파클링 음료 3종을 출시했다고 11일 밝혔다. 이번 신 ...
- 유혜리 기자 2017.07.11

- 상큼시원한 후르츠 블라스트로 여름철 생기 100% 충전
- [환경데일리 유혜리 기자]배스킨라빈스가 달콤상큼한 과일이 듬뿍 담겨 비타민이 풍부한 '애플 블라스트'와 '오렌지 블라스트'를 출시한다고 밝혔다. 새롭게 선보이는 후르츠 블라스트 2종은 본격적인 여름철 무더위에 시원하게 즐기기 좋은 제 ...
- 유혜리 기자 2017.07.10

- 친환경 캡슐 하나로 소잃고 외양간 고치는 일 사라져
- [환경데일리 한영익 기자]방목 한우의 건강상태를 수시로 농장주 스마트폰으로 직접 확인할 수 있다.임신한 소 상태는 어떠한 지, 아픈 소는 없는지, 그때 그때 상태를 파악, 수의사와 직간접적으로 공유하고 해법을 찾을 수 있다.4차 산업 ...
- 한영익 2017.07.10

- 롯데제과, 꿈의 초콜릿 '드림카카오 닙스'출시
- [환경데일리 유혜리 기자]최근 다이어트와 미용 시장에서 화제로 떠오른 카카오 닙스. 그러나 쓴 맛으로 인해 부담스러워 하는 소비자들도 있다. 이에 롯데제과는 드림카카오에 카카오 닙스를 더해 맛있게 즐길 수 있도록 만든 '드림카카오 닙 ...
- 유혜리 기자 2017.07.06

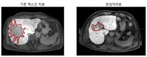
- 간암 극복할 양성자치료, '간암 치료' 효과 탁월
- [환경데일리 김영민 기자]간암 치료 정복이 한 발짝 다가오고 있다.삼성서울병원 암병원 양성자치료센터(센터장 표홍렬)가 본격 가동 1년만에 치료환자수 500명, 연간 치료건수 9000건을 넘어섰다. 이는 비슷한 시기에 오픈한 다른 국가 ...
- 김영민 기자 2017.07.05

- 석면피해자 의료비 후불제 도입
- [환경데일리 김영민 기자]석면광산 주변 주민들이 석면피해자로 등록된 후 치료 목적으로 병원이 제한적이여서 불편함이 많아졌지만 앞으로는 전국 주요 종합병원까지 확대가 수월하게 치료 등을 받을 수 있게 됐다.환경부가 석면질병 검사 의료기 ...
- 김영민 기자 2017.07.04